Bệnh đốm trắng (WSD), do virus hội chứng đốm trắng (WSSV) gây ra, là một trong những mối đe dọa lớn nhất đối với ngành nuôi tôm. WSD gây tỷ lệ chết cao, có thể lên đến 100% ở các quần thể tôm sạch mầm bệnh (SPF) trong điều kiện nuôi thương phẩm chỉ trong vài ngày. WSSV được báo cáo lần đầu tiên tại Đài Loan vào năm 1992. Kể từ đó, các ca nhiễm WSSV trên tôm đã được ghi nhận tại Nhật Bản, Hàn Quốc, Đông Nam Á, Nam Á, khu vực Địa Trung Hải, Trung Đông, châu Mỹ và Úc.
Bệnh đốm trắng (WSD), do virus hội chứng đốm trắng (WSSV) gây ra, là một trong những mối đe dọa lớn nhất đối với ngành nuôi tôm. WSD gây tỷ lệ chết cao, có thể lên đến 100% trong các quần đàn tôm sạch mầm bệnh (SPF) ở giai đoạn nuôi thương phẩm chỉ trong vài ngày. WSSV được ghi nhận lần đầu tiên tại Đài Loan vào năm 1992. Kể từ đó, các ca nhiễm WSSV ở tôm đã được báo cáo tại Nhật Bản, Hàn Quốc, Đông Nam Á, Nam Á, khu vực Địa Trung Hải, Trung Đông, châu Mỹ và Úc.
Nguy cơ xâm nhập WSSV chủ yếu đến từ hoạt động thương mại quốc tế giữa các quốc gia sản xuất và nhập khẩu tôm nhiễm bệnh, dù là tôm sống hay tôm đông lạnh – còn đầu (HO), còn đầu còn vỏ (HOSO) hoặc bỏ đầu còn vỏ (HLSO) – hoặc dưới dạng sản phẩm đã nấu chín. Do nguy cơ vô tình đưa mầm bệnh tôm vào thông qua sản phẩm thương mại, một số quốc gia – bao gồm Úc, Ả Rập Xê Út và các nước khác – đã áp dụng các quy định nghiêm ngặt trong nhập khẩu tôm nguyên liệu. Việc kiểm tra xác định sự hiện diện và/hoặc vắng mặt của một số tác nhân virus được thực hiện bằng phương pháp phản ứng chuỗi polymerase (PCR). Thông thường, nếu lô hàng dương tính, sản phẩm sẽ bị tiêu hủy hoặc xử lý (nấu chín).

Gần đây, tôm đã nấu chín nhưng nhiễm WSSV vẫn cho kết quả dương tính khi xét nghiệm bằng PCR. Tuy nhiên, chưa có nghiên cứu nào xác định khả năng lây nhiễm của WSSV trong tôm đã nấu chín nhưng dương tính PCR. Một số nghiên cứu trước đây cho thấy sản phẩm tôm đông lạnh là con đường đưa WSSV vào châu Mỹ năm 1995, nhưng chỉ có rất ít công bố khoa học đánh giá nguy cơ lây nhiễm WSSV từ tôm thương phẩm đã nấu chín. Các nghiên cứu này chỉ dừng lại ở phát hiện WSSV bằng PCR và chưa xác định được liệu tôm đã nấu chín chứa trình tự DNA virus còn có khả năng lây nhiễm hay không. Mục đích nghiên cứu của chúng tôi – với sự hỗ trợ của Phòng thí nghiệm Bệnh học Thủy sản thuộc Đại học Arizona – là đánh giá khả năng lây nhiễm của tôm nhiễm WSSV sau khi nấu chín.
Thiết lập thí nghiệm
Tôm sử dụng trong nghiên cứu được lấy từ một cơ sở nuôi thương mại tại Hoa Kỳ. Tổng cộng 250 con tôm thẻ chân trắng SPF (Litopenaeus vannamei) với trọng lượng trung bình 10 gram được sử dụng. Trọng lượng này đại diện cho kích cỡ tôm thường thấy trong ao khi thu hoạch khẩn cấp tại các trang trại có WSSV lưu hành và sắp xảy ra bùng phát dịch.
Để tạo tôm nhiễm WSSV, tiến hành thí nghiệm gây nhiễm qua đường miệng bằng cách cho tôm SPF ăn mô tôm đã được xác nhận nhiễm WSSV, xay nhuyễn. Lượng cho ăn bằng 10% trọng lượng thân, chia làm hai lần (sáng và chiều) trong một ngày. Nước trong bể thí nghiệm duy trì ở độ mặn 25 ppt và nhiệt độ 25°C. Sau khi gây nhiễm, tỷ lệ chết được ghi nhận mỗi giờ. Nhóm đối chứng âm được cho ăn mô tôm khỏe mạnh.
Khi tỷ lệ chết đạt 50%, các cá thể sống sót được thu hoạch để mô phỏng thu hoạch khẩn cấp và được gây mê nhân đạo. Mẫu mang và chân bơi được thu và bảo quản để xác nhận bằng PCR thường và PCR thời gian thực. Năm con tôm có biểu hiện lâm sàng được cố định để phân tích mô bệnh học.
Quần thể tôm nhiễm ban đầu được chia thành sáu nhóm, mỗi nhóm 40 con; mỗi nhóm tương ứng với thời gian luộc (trong nước ngọt) là 0, 1, 3, 5, 10 và 30 phút. Một nhóm không nhiễm WSSV làm đối chứng âm. Mỗi nhóm 40 con tiếp tục chia thành hai phân nhóm với hai lần lặp lại. Phân nhóm 1 được luộc theo các mốc thời gian trước khi cho tôm SPF ăn. Phân nhóm 2 cũng được luộc theo các mốc thời gian tương tự nhưng sau đó được đông lạnh ở -20°C trong 14 ngày trước khi sử dụng làm nguồn gây nhiễm.
Nhiệt độ trong mô tôm được đo bằng nhiệt kế đặt trong cơ đuôi, ghi nhận trước và sau khi nấu. Sau khi luộc, mẫu được làm nguội nhẹ rồi thu mẫu mang và chân bơi để phân tích PCR và qPCR (PCR định lượng – phiên bản cải tiến của PCR truyền thống dùng để phát hiện và định lượng axit nucleic).
Để xác định độc lực của tôm đã nấu, tiến hành thí nghiệm gây nhiễm trên tôm SPF. Mỗi bể 90 lít chứa 10 tôm giống (2–3 gram). Mô dạ dày, mang và chân bơi được cắt nhỏ và xay nhuyễn, sau đó cho ăn với liều 10% tổng trọng lượng đàn trong hai lần mỗi ngày. Thời gian thí nghiệm kéo dài 11–12 ngày. Tỷ lệ chết được ghi nhận hằng ngày. Tôm yếu được thu mẫu để xét nghiệm qPCR, PCR và mô bệnh học.
Tỷ lệ sống cuối cùng được xác định khi kết thúc thí nghiệm. Mẫu chân bơi được bảo quản trong ethanol 95% để phân tích PCR và qPCR. Hai con mỗi bể được cố định để phân tích mô học.
Kết quả
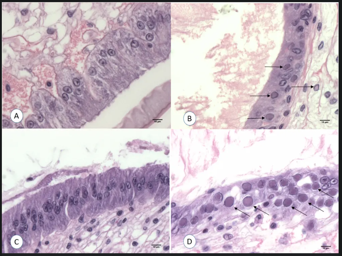
Mô tôm nhiễm WSSV sử dụng gây nhiễm đã gây tỷ lệ chết cao. Nhóm đầu tiên bắt đầu chết từ ngày thứ 2 sau gây nhiễm. Đến ngày thứ 4, khi tỷ lệ chết đạt 50%, số còn lại được thu hoạch. Kết quả PCR và nhuộm H&E xác nhận dương tính WSSV.
Mẫu tôm nhiễm được luộc ở các mốc 0, 1, 3, 5, 10 và 30 phút. Phân tích qPCR cho kết quả dương tính ở tất cả các mẫu sau luộc. Tuy nhiên, nested PCR không khuếch đại được bất kỳ mẫu nào.
Tỷ lệ chết cao chỉ xuất hiện ở nhóm đối chứng dương (0 phút). Kết quả tương tự khi mẫu đã luộc được đông lạnh 2 tuần trước khi sử dụng gây nhiễm.
Phân tích mô học cho thấy thể vùi nội nhân đặc trưng của WSSV chỉ xuất hiện ở nhóm đối chứng dương. Các nhóm luộc từ 1 đến 30 phút không xuất hiện tổn thương mô học đặc trưng của WSSV.
Thảo luận
Kết quả chứng minh rằng tôm nhiễm WSSV sau khi luộc từ 1 đến 30 phút không còn khả năng lây nhiễm. Dù qPCR phát hiện DNA WSSV ở tất cả các mẫu, nested PCR không khuếch đại được do DNA đã bị phân mảnh và suy giảm chất lượng sau khi luộc. Sản phẩm khuếch đại của nested PCR dài hơn (.447 bp và 941 bp), trong khi sản phẩm qPCR chỉ 69 bp, nên qPCR vẫn có thể phát hiện các đoạn DNA nhỏ còn sót lại dù virus đã mất khả năng lây nhiễm.
Thí nghiệm gây nhiễm xác nhận rằng chỉ nhóm đối chứng dương (0 phút) gây chết và nhiễm WSSV. Các nhóm luộc từ 1–30 phút có tỷ lệ sống cao và không xuất hiện tổn thương mô học.
Kết luận
Việc nấu tôm ở nhiệt độ sôi ít nhất 1 phút có thể làm mất khả năng lây nhiễm của WSSV và giảm nguy cơ lây lan qua thương mại quốc tế. Khi đánh giá khả năng lây nhiễm của tôm đã nấu, nên sử dụng phương pháp nested PCR thay vì chỉ dựa vào qPCR.
Nguồn: globalseafood
CÔNG TY TNHH AQUA MINA
– Địa chỉ: 685 Lê Đức Anh, Khu Phố 39, P. Bình Hưng Hòa, Tp HCM
– Điện thoại: 1800 6071 (Tổng đài miễn cước )
– Email: sales@aquamina.com.vn hoặc oversea@aquamina.com.vn
– Đại lý của Aqua Mina tại Nhật Bản: Công ty REX INDUSTRIES CO.,LTD
– Địa chỉ: 1-9-3 Hishiya-Higashi, Higashi-Osaka 578-0948 JAPAN
– Email: kimakubo@rexind.co.jp
– Điện thoại: +81-(0)72-961-9893

Chúng tôi làm việc vì sự thành công của Quý Khách Hàng!!!